Autor: Dr n. wet. Karolina Błasiak

    

Działy
Wyczyść
Brak elementów
Wydanie
Wyczyść
Brak elementów
Rodzaj treści
Wyczyść
Brak elementów
Sortowanie

Ciąża bliźniacza jednokosmówkowa dwuowodniowa – opis przypadku

Ciężarne suki z bliźniaczą ciążą jednokosmówkową – diagnoza i ryzyko powikłań

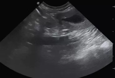
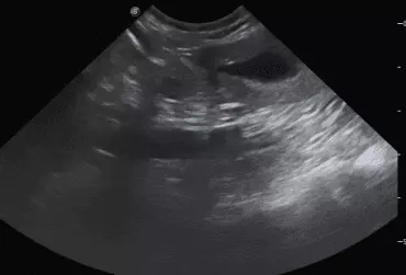
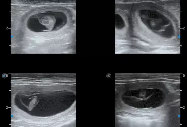
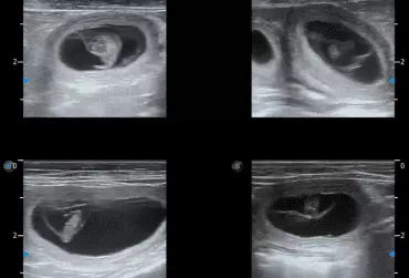
W literaturze opisano niewiele przypadków ciąż bliźniaczych jednokosmówkowych u suk. W trakcie wczesnej diagnostyki ultrasonograficznej ciąży u suki rasy whippet (chart angielski) zobrazowano pęcherz ciążowy, w którym znajdowały się dwa zarodki. Podczas badań kontrol­nych zarodki, a później płody wykazywały prawidłową organogenezę i żywotność. Ich rozwój przebiegał podobnie względem pozostałych ośmiu płodów. W 63. dniu ciąży wykonano zabieg cesarskiego cięcia i wydobyto dwa płody tej samej płci, o bardzo podobnym wyglądzie, z dwóch pęcherzy płodowych przyczepionych do jednego łożyska, oraz pozostałe osiem płodów. 
Ryzyko związane z ciążą bliźniaczą jednokosmówkową u ciężarnych suk nadal jest nieznane, istnieją jednak doniesienia o śmierci płodu lub płodów w ciążach jednokosmówkowych u tego gatunku. Badanie ultrasonograficzne w czasie ciąży pozwala na wczesne rozpoznanie ciąży jednokosmówkowej, a monitorowanie żywotności płodów może ograniczyć ryzyko powikłań położniczych i przynieść korzyści zdrowotne zarówno samicy, jak i rodzeństwu z miotu.

Czytaj więcej