Autor: Rafał Kraszewski

lek. wet. spec. chirurg; w  roku 2009 ukończył studia weterynaryjne na Warszawskiej SGGW. W roku 2014 uzyskał tytuł specjalisty z zakresu chirurgii weterynaryjnej. Obecnie pracuje w Specjalistycznej Przychodni Weterynaryjnej Vetcardiia, gdzie zajmuje się chirurgią miękką i kardiochirurgią. Stale poszerza swoją wiedzę na licznych warsztatach Polskich i Zagranicznych. W 2017 roku odbył miesięczny staż z kardiochirurgii pod okiem Prof Ortona w USA.

Działy
Wyczyść
Brak elementów
Wydanie
Wyczyść
Brak elementów
Rodzaj treści
Wyczyść
Brak elementów
Sortowanie

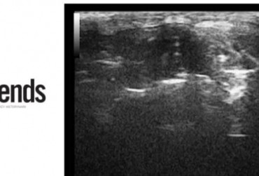
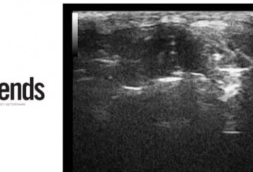
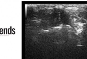
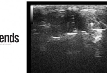
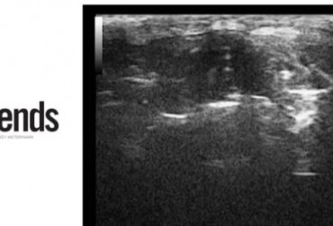
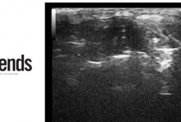
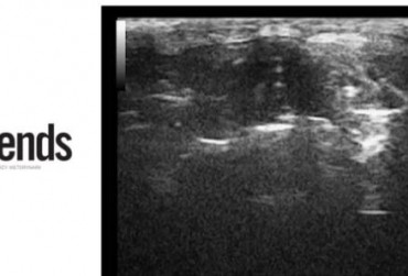
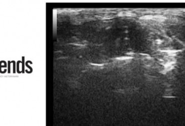
Starszy pies z objawami krwioplucia – gdy wszystko idzie nie tak, jak powinno. Opis p...

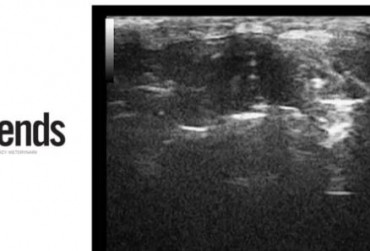
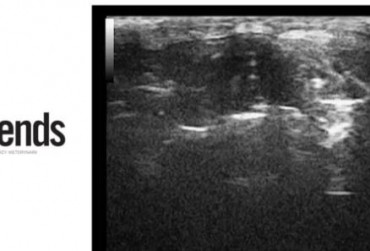
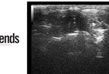
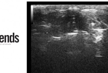
Kaszel z krwią nie jest częstym objawem obserwowanym u psów. Może pojawiać się przy wielu chorobach i zdiagnozowanie przyczyny krwioplucia nierzadko przysparza wielu problemów. Objaw ten może występować przy zapaleniu płuc, obrzęku płuc, nowotworach, ciałach obcych, ziarniniakach lub przy zaburzeniach krzepliwości. W artykule przedstawiono opis przypadku psa, który przysporzył lekarzom wiele stresu i kłopotu.

Czytaj więcej