Autor: Rafał Kraszewski

lek. wet. spec. chirurg; w  roku 2009 ukończył studia weterynaryjne na Warszawskiej SGGW. W roku 2014 uzyskał tytuł specjalisty z zakresu chirurgii weterynaryjnej. Obecnie pracuje w Specjalistycznej Przychodni Weterynaryjnej Vetcardiia, gdzie zajmuje się chirurgią miękką i kardiochirurgią. Stale poszerza swoją wiedzę na licznych warsztatach Polskich i Zagranicznych. W 2017 roku odbył miesięczny staż z kardiochirurgii pod okiem Prof Ortona w USA.

Działy
Wyczyść
Brak elementów
Wydanie
Wyczyść
Brak elementów
Rodzaj treści
Wyczyść
Brak elementów
Sortowanie

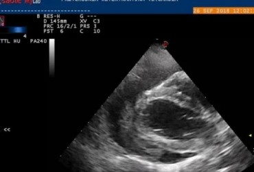
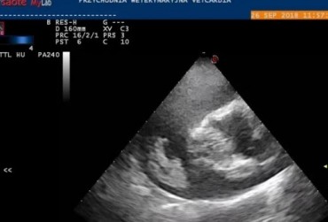
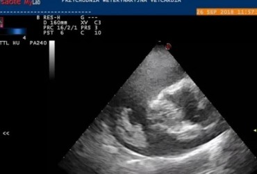
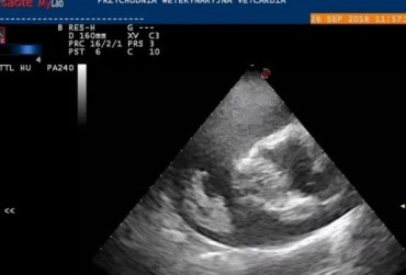
Starszy pies z objawami krwioplucia – gdy wszystko idzie nie tak, jak powinno – opis przypadku

Kaszel z krwią nie jest częstym objawem obserwowanym u psów. Może pojawiać się przy wielu chorobach i zdiagnozowanie przyczyny krwioplucia nierzadko przysparza wielu problemów. Objaw ten może występować przy zapaleniu płuc, obrzęku płuc, nowotworach, ciałach obcych, ziarniniakach lub przy zaburzeniach krzepliwości. W artykule przedstawiono opis przypadku psa, który przysporzył lekarzom wiele stresu i kłopotu.

Czytaj więcej

Zabieg jednostronnej lateralizacji chrząstki nalewkowatej u psa z paraliżem krtani

Paraliż krtani to powszechna przyczyna niedrożności dróg oddechowych występująca najczęściej u starszych psów. Gdy leczenie zachowawcze nie przynosi rezultatów, należy pomóc takim pacjentom chirurgicznie. Złotym standardem jest zabieg jednostronnej lateralizacji chrząstki nalewkowatej. W artykule przedstawione zostaną metody rozpoznania i leczenia paraliżu krtani.

Czytaj więcej

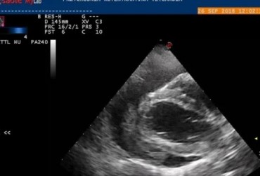
Metody małoinwazyjne w kardiologii weterynaryjnej. Czy chirurg jest jeszcze potrzebny? Opis przypadku

Artykuł przedstawia różne metody usunięcia worka osierdziowego. Prezentuje zarówno metody klasyczne, jak i małoinwazyjne, pokazując zalety i wady każdej z nich. Dzięki przedstawionemu opisowi przypadku pozwala zrozumieć, czym należy się kierować przy wyborze odpowiedniej metody operacji.

Czytaj więcej