Autor: Wojciech Atamaniuk

Radiolog, obecnie pracuje w Regionalnym Szpitalu Małych Zwierząt AniCura Bagarmossen, Sztokholm, Regiondjursjukhuset AniCura Bagarmossen. Absolwent Wydziału Medycyny Weterynaryjnej Akademii Rolniczej we Wrocławiu. W latach 1992-2015 asystent, następnie adiunkt Katedry i Kliniki Chirurgii AR we Wrocławiu. Od 2015 r. pracuje w Szpitalu Małych Zwierząt w Jönköping (Szwecja). W latach 1994-1995 półroczny staż naukowy w Klinice Małych Zwierząt Uniwersytetu w Helsinkach. W roku 2001 obronił pracę doktorską pt. „Badania ultrasonograficzne wczesnych regeneratów kostnych owiec operowanych metodą Ilizarowa". Członek towarzystw: Polskiego Towarzystwa Ortopedycznego, Polskiego Towarzystwa Zastosowań Techniki Ilizarowa, Europaean Association of Veterinary Diagnostic Imaging. Doniesienia zagraniczne: Ghent (2004), Neapol (2005), Chalkidiki (2007), Svolvaer (2008), Giessen (2010), Londyn (2011), Cascais (2013) - ongresy EVDI, Buzios (2009) – kongres IVRA, Berlin (2006) - kongres Stowarzyszenia Niemieckich Lekarzy Małych Zwierząt. Autor 45 publikacji krajowych i 9 publikacji zagranicznych. Prywatnie żonaty, hobby – żeglarstwo.

Działy
Wyczyść
Brak elementów
Wydanie
Wyczyść
Brak elementów
Rodzaj treści
Wyczyść
Brak elementów
Sortowanie

Zespół gruczolakoraka torbielowatego nerek i guzków włóknistych skóry u owczarka niemieckiego – opis przypadku

U 8-letniego niekastrowanego owczarka niemieckiego wykryto obecność kilku guzków skórnych widocznych na kończynach i na nosie. Badanie cytologiczne nie było jednoznaczne. W badaniu histopatologicznym jednego z usuniętych guzków stwierdzono obecność masy kolagenowej z niewielką ilością komórek zajętych głębokim, ropnym zapaleniem skóry. Po roku wykonano badanie ultrasonograficzne układu moczowego z powodu krwiomoczu i pogorszenia się stanu ogólnego psa. Wykryto liczne torbiele w obu nerkach o nietypowej strukturze. Na podstawie wyników badań postawiono rozpoznanie zespołu gruczolakoraka torbielowatego nerek i guzków włóknistych skóry (ang. renal cystadenocarcinoma and nodular dermatofibrosis – RNCD).

Czytaj więcej

Radiografia płuc psów i kotów dla opornych

Radiografia klatki piersiowej pozostaje najbardziej popularną metodą oceny płuc i układu sercowo-naczyniowego psów i kotów. Istnieje na ten temat wiele dostępnych podręczników i artykułów, a jednak mimo upływającego czasu nieodmiennie radiolodzy spotykają się z wieloma prośbami o poprowadzenie szkolenia na temat interpretacji zmian radiologicznych klatki piersiowej, zwłaszcza zmian płucnych. Wydaje się, że interpretacja radiogramów płuc jest wiecznym dylematem studentów i lekarzy weterynarii. Moim zdaniem wynika to częściowo z braku wyrobionego algorytmu oceny radiogramów klatki piersiowej, czemu będzie poświęcony niniejszy artykuł. W artykule zostaną zawarte proste, standardowe i praktyczne zasady diagnostyki radiograficznej płuc, obejmujące algorytm oceny płuc oraz interpretacji zmian.

Czytaj więcej

Rzekomołożyskowy przerost błony śluzowej macicy u suk w badaniu ultrasonograficznym

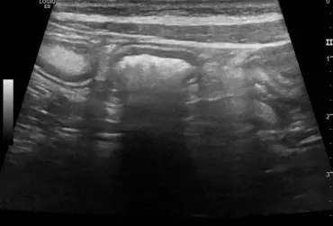
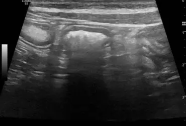
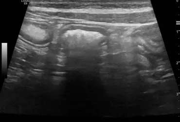
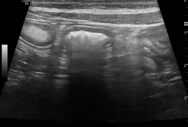
Rzekomołożyskowy przerost błony śluzowej macicy jest rzadko występującą formą przerostu endometrium występującą u młodych suk. Opisano przypadek występowania tej formy przerostu u 18-miesięcznej suki rasy flat coated retriever z wieloma nieswoistymi objawami, w tym przedłużającą się cieczką. W badaniu USG wykryto obecność pięciu zmian miejscowych w rogach macicy w postaci hipoechogennej, pogrubiałej błony śluzowej z obecnością ognisk i pasm hiperechogennych prostopadłych do osi długiej macicy oraz nietypową, hiperechogenną warstwę w centrum. Obraz zmian odpowiadał rzekomo łożyskowemu przerostowi endometrium, natomiast obecność hiperechogennej, wewnętrznej warstwy błony śluzowej macicy mogła wynikać z długości czasu trwania estrus. Zastosowano leczenie zachowawcze aglepriston podawanym podskórnie. Zmiany istotnie zmniejszyły się po zakończeniu leczenia, po czterech miesiącach nie były widoczne.

Czytaj więcej